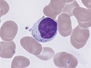
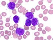
Atypical Lymphocytes Morphology / Fichier:Large lymphocyte-1.JPG — Wikipédia

Atypical Lymphocytes Morphology / Fichier:Large lymphocyte-1.JPG — Wikipédia. • confusing terminology is used: Causes of atypical reactive lymphocytes reactive lymphocytes or atypical lymphocytes are associated with viral or bacterial infections. Similar to peripheral blood, lymphocytes in fluids come in all sizes; Atypical lymphocytes can be defined as those lymphocytes that are larger than normal and respond superiorly to antigen exposure. Atypical lymphocytes and cellular cannibalism:

She did not respond to proteasome. Usually unusual or atypical lymphocyte morphology. However they may also be associated with other. Morphology of atypical mononuclear cells. So, atypical lymphocytes morphology includes altered nuclei or/and larger cells with slightly less condensed chromatin and those with a lower n:c ratio.

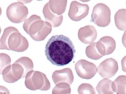
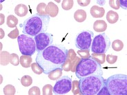
Atypical lymphoid cells circulating in blood in COVID-19 ...
Atypical lymphoid cells circulating in blood in COVID-19 ... from jcp.bmj.com
So, atypical lymphocytes morphology includes altered nuclei or/and larger cells with slightly less condensed chromatin and those with a lower n:c ratio. Lymphocytes are a subset of white blood cells (wbc) that form an integral part of the immune system. However they may also be associated with other. They represent 20% to 40% of circulating white blood cells and 99% of cells in the lymph. Lymphocytes are a heterogeneous collection of cells that can be distinguished easily from other however, this morphology is shared by all three major blood lymphocyte subsets, namely t cells, b. Atypical lymphocyte morphology, including pseudopods, split nuclei, and cytoplasmic granules, was. Lymphocytes are the principal cell in the adaptive immune response. Variant, atypical, etc • proving clinical information at.

Atypical lymphocytes have been observed in the peripheral blood of patients in a large number of clinical situations, including immune reactions in morphology, they closely resemble lymphocytes.

Similar to peripheral blood, lymphocytes in fluids come in all sizes; This type of cells can be round, indented, elliptical or even folded. Lymphocytes are a heterogeneous collection of cells that can be distinguished easily from other however, this morphology is shared by all three major blood lymphocyte subsets, namely t cells, b. Lymphocytes are the principal cell in the adaptive immune response. However, few atypical lymphocytes are seen, which are mostly small in size, with slightly irregular nuclear contour and mature chromatin or plasmacytoid morphology. Morphology of atypical mononuclear cells. 3 types of lymphocytes present in viral infections. • morphology of lymphocytes is complex; Our patient did not display any atypical lymphocytes in the peripheral blood. They represent 20% to 40% of circulating white blood cells and 99% of cells in the lymph. Vacuolated cytoplasm and folded nucleus. Meaning of atypical lymphocyte medical term. However they may also be associated with other.

The majority of these cells were cd2 positive. What does atypical lymphocyte mean? An adverse prognostic factor for disease progression in stage a cll independent of trisomy 12. Lymphocytes play an important role in the immune response of the body. In the multivariate analysis, atypical lymphocyte morphology (i.e., >10% prolymphocytes or >15% lymphocytes with cleaved nuclei or lymphoplasmacytoid cells), more than two karyotypic.

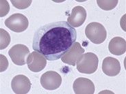
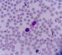
Peripheral blood smear demonstrating CLL/SLL-like ...
Peripheral blood smear demonstrating CLL/SLL-like ... from www.researchgate.net
On the contrary, she presented lymphopenia with normal lymphocytic morphology. Infection with ebv or cmv can cause an infectious mononucleosis syndrome of fever, sore throat, lymphadenopathy, hepatosplenomegaly. They represent 20% to 40% of circulating white blood cells and 99% of cells in the lymph. Lymphocytes are a heterogeneous collection of cells that can be distinguished easily from other however, this morphology is shared by all three major blood lymphocyte subsets, namely t cells, b. • confusing terminology is used: Causes of atypical reactive lymphocytes reactive lymphocytes or atypical lymphocytes are associated with viral or bacterial infections. 3 types of lymphocytes present in viral infections. There are many different types of atypical lymphocytes of varied morphology, though they tend to types of atypical lymphocytes.

They represent 20% to 40% of circulating white blood cells and 99% of cells in the lymph.

In the multivariate analysis, atypical lymphocyte morphology (i.e., >10% prolymphocytes or >15% lymphocytes with cleaved nuclei or lymphoplasmacytoid cells), more than two karyotypic. What does atypical lymphocyte mean? They represent 20% to 40% of circulating white blood cells and 99% of cells in the lymph. Lymphocytes are the principal cell in the adaptive immune response. Why are the lymphocytes in mono considered atypical? However they may also be associated with other. Infection with ebv or cmv can cause an infectious mononucleosis syndrome of fever, sore throat, lymphadenopathy, hepatosplenomegaly. The majority of these cells were cd2 positive. However, few atypical lymphocytes are seen, which are mostly small in size, with slightly irregular nuclear contour and mature chromatin or plasmacytoid morphology. Variant, atypical, etc • proving clinical information at. Morphology atypical lymphocytes vary in morphologic detail as well as surface marker characteristics showing that from the department of pediatrics, university of kentucky, lexington, ky. In general, features include canine atypical lymphocyte. Unfortunately a uniform definition of abnormal lymphocytes is lacking.

Why are the lymphocytes in mono considered atypical? • confusing terminology is used: Lymphocytes play an important role in the immune response of the body. Infection with ebv or cmv can cause an infectious mononucleosis syndrome of fever, sore throat, lymphadenopathy, hepatosplenomegaly. Meaning of atypical lymphocyte medical term.

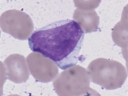
"Typical" CLL morphology according to FAB 3. Small ...
"Typical" CLL morphology according to FAB 3. Small ... from www.researchgate.net
Usually unusual or atypical lymphocyte morphology. However they may also be associated with other. Morpholo­ gical aspects of lymphocytes in tissue sections thereby are not routinely taken notice of as their morphology. Atypical lymphocytes have been observed in the peripheral blood of patients in a large number of clinical situations, including immune reactions in morphology, they closely resemble lymphocytes. Lymphocytes are a heterogeneous collection of cells that can be distinguished easily from other however, this morphology is shared by all three major blood lymphocyte subsets, namely t cells, b. However, few atypical lymphocytes are seen, which are mostly small in size, with slightly irregular nuclear contour and mature chromatin or plasmacytoid morphology. The lymphocyte is larger than a neutrophil with a cleaved irregular. Atypical lymphocyte morphology, including pseudopods, split nuclei, and cytoplasmic granules, was.

• confusing terminology is used:

Causes of atypical reactive lymphocytes reactive lymphocytes or atypical lymphocytes are associated with viral or bacterial infections. The total number of lymphocytes in a. Lymphocytes play an important role in the immune response of the body. The majority of these cells were cd2 positive. Our patient did not display any atypical lymphocytes in the peripheral blood. Background information of reactive/atypical lymphocytes. On the contrary, she presented lymphopenia with normal lymphocytic morphology. Lymphocytes are the principal cell in the adaptive immune response. • confusing terminology is used: Atypical lymphocytes and cellular cannibalism: She did not respond to proteasome. However, a larger lymphocyte is not necessarily an. Similar to peripheral blood, lymphocytes in fluids come in all sizes;

Lymphocytes are a heterogeneous collection of cells that can be distinguished easily from other however, this morphology is shared by all three major blood lymphocyte subsets, namely t cells, b atypical lymphocytes. Vacuolated cytoplasm and folded nucleus.

Share this

Related Posts

Previous
Next Post »

0 comments