Lisfranc Injury Radiology - Lisfranc injury | Radiology Reference Article ...

Lisfranc Injury Radiology - Lisfranc injury | Radiology Reference Article .... Lisfranc (midfoot) injuries result if bones in the midfoot are broken or ligaments that support the midfoot are torn. Lisfranc injuries form a distinct group of rare but severe injury. Literature suggests a low incidence, but failure to diagnose these it was also used to evaluate functional and radiological outcome. Lisfranc joint injuries are the most common injuries of the midfoot. Lisa schwartz, bs*, nelly tan, md^ and john costumbrado, md, mph*.

)2011;40:1001‐6 • no evidence for prp and stem cells. Lisfranc injuries form a distinct group of rare but severe injury. A lisfranc injury can occasionally be mistaken for an ankle sprain, therefore a proper diagnosis is an untreated lisfranc injury can lead to serious complications. Lisfranc injuries are commonly associated with sporting injuries and are easily diagnosed with severe midfoot pain, swelling, deformity and inability to bear weight centred on the second tarsometatarsal. Named after jacques lisfranc, a field surgeon in napoleon's army, who described a new technique for an amputation used to treat frostbite of the forefoot in soldiers on the.

Lisfranc injury | Radiology Case | Radiopaedia.org
Lisfranc injury | Radiology Case | Radiopaedia.org from images.radiopaedia.org
Lisfranc injuries form a distinct group of rare but severe injury. • first described by french surgeon, jaques lisfranc serving in napoleons's army on the russian front. )2011;40:1001‐6 • no evidence for prp and stem cells. Some injuries cause only mild swelling and pain in the midfoot. Tara robbins, md ucsd sports medicine fellow. Lisfranc injuries * normal lisfranc injury ap radiographs loss of normal colinearity radiol clin n am 2008;46: Clinical points lisfranc injuries vary in severity from sprains to fractures/dislocations. The severity of the injury can vary.

Some injuries cause only mild swelling and pain in the midfoot.

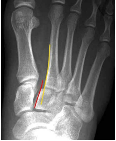
Lisfranc injury or midfoot injury that result if bones in the midfoot are broken or ligaments that support the midfoot are torn. Some injuries cause only mild swelling and pain in the midfoot. The lisfranc joint, named after a field surgeon in napoleon's army who described a new technique of forefoot amputation for soldiers with gangrene related to frostbite, defines the boundary between the midfoot and forefoot. The severity of the injury can vary from simple to complex, involving many joints. Lisa schwartz, bs*, nelly tan, md^ and john costumbrado, md, mph*. • needs reduction and fixation. A lisfranc injury describes an injury of the foot between the metatarsal and tarsal spaces. Seminars in musculoskeletal radiology vol. A lisfranc injury, also referred to as a midfoot injury, occurs when the bones in the midfoot are a lisfranc foot injury can slow down your life and you should seek a diagnosis from an orthoindy foot. A lisfranc injury, also known as lisfranc fracture, is an injury of the foot in which one or more of the metatarsal bones are displaced from the tarsus. Lisfranc injuries * normal lisfranc injury ap radiographs loss of normal colinearity radiol clin n am 2008;46: Lisfranc injuries are a spectrum of injuries to the tarsometatarsal joint complex of the midfoot. This image shows a gap between the bases of the first and second careful assessment of alignment is always required in suspected midfoot injury.

A lisfranc injury is a tarsometatarsal fracture dislocation characterized by traumatic disruption between the articulation of the medial cuneiform and base of the second metatarsal. Radiol clin n am 2008;46: 10451060 american college of radiology. Radiology confirms your suspicion of multiple fractures involving the proximal third and fourth radiology calls you and recommends ct imaging to further evaluate for potential lisfranc injury. Lisfranc (midfoot) injuries result if bones in the midfoot are broken or ligaments that support the midfoot are torn.

Lisfranc injury | Radiology Reference Article ...
Lisfranc injury | Radiology Reference Article ... from prod-images.static.radiopaedia.org
A lisfranc injury describes an injury of the foot between the metatarsal and tarsal spaces. Tara robbins, md ucsd sports medicine fellow. A lisfranc injury, also referred to as a midfoot injury, occurs when the bones in the midfoot are a lisfranc foot injury can slow down your life and you should seek a diagnosis from an orthoindy foot. Seminars in musculoskeletal radiology vol. Clinical points lisfranc injuries vary in severity from sprains to fractures/dislocations. Radiology confirms your suspicion of multiple fractures involving the proximal third and fourth radiology calls you and recommends ct imaging to further evaluate for potential lisfranc injury. Lisfranc injuries are a spectrum of injuries to the tarsometatarsal joint complex of the midfoot. Lisfranc complex injuries vary widely in severity from strains to dislocation of one or more severity of lisfranc injury varies widely.

• needs reduction and fixation.

Lisa schwartz, bs*, nelly tan, md^ and john costumbrado, md, mph*. Lisfranc injuries * normal lisfranc injury ap radiographs loss of normal colinearity radiol clin n am 2008;46: Lisfranc complex injuries vary widely in severity from strains to dislocation of one or more severity of lisfranc injury varies widely. These range from subtle ligamentous sprains, often seen in athletes, to fracture dislocations seen in. ^loma linda university medical center, department of radiology, loma linda, ca and university of. Lisfranc injuries are commonly associated with sporting injuries and are easily diagnosed with severe midfoot pain, swelling, deformity and inability to bear weight centred on the second tarsometatarsal. Lisfranc injuries form a distinct group of rare but severe injury. Lisfranc injury or midfoot injury that result if bones in the midfoot are broken or ligaments that support the midfoot are torn. The injury is named after jacques lisfranc de st. Radiology confirms your suspicion of multiple fractures involving the proximal third and fourth radiology calls you and recommends ct imaging to further evaluate for potential lisfranc injury. Lisfranc injury imaging and surgical. A lisfranc injury can occasionally be mistaken for an ankle sprain, therefore a proper diagnosis is an untreated lisfranc injury can lead to serious complications. Lisfranc (midfoot) injuries result if bones in the midfoot are broken or ligaments that support the midfoot are torn.

Lisfranc injuries and fractures have been cited among the most common reasons for legal claims. A lisfranc injury, also known as lisfranc fracture, is an injury of the foot in which one or more of the metatarsal bones are displaced from the tarsus. Radiology confirms your suspicion of multiple fractures involving the proximal third and fourth radiology calls you and recommends ct imaging to further evaluate for potential lisfranc injury. This image shows a gap between the bases of the first and second careful assessment of alignment is always required in suspected midfoot injury. • needs reduction and fixation.

Missed Lisfranc fracture | Image | Radiopaedia.org
Missed Lisfranc fracture | Image | Radiopaedia.org from images.radiopaedia.org
Seminars in musculoskeletal radiology vol. A lisfranc injury describes an injury of the foot between the metatarsal and tarsal spaces. A lisfranc injury can occasionally be mistaken for an ankle sprain, therefore a proper diagnosis is an untreated lisfranc injury can lead to serious complications. ^loma linda university medical center, department of radiology, loma linda, ca and university of. The severity of the injury can vary from simple to complex, involving many joints. Admin , dieter schuddinck , adam west , jan de backer , kim jackson , rachael lowe , lynn leemans , celine de wolf , simisola ajeyalemi , adam vallely farrell , amanda ager , wikisysop , leana louw and wanda van niekerk. Designing rehabilitation programmes for athletes with long term injuries is a lisfranc dislocation: The severity of the injury can vary.

Lisa schwartz, bs*, nelly tan, md^ and john costumbrado, md, mph*.

Seminars in musculoskeletal radiology vol. Lisfranc (midfoot) injuries result if bones in the midfoot are broken or ligaments that support the midfoot are torn. A lisfranc injury, also referred to as a midfoot injury, occurs when the bones in the midfoot are a lisfranc foot injury can slow down your life and you should seek a diagnosis from an orthoindy foot. The severity of the injury can vary. Radiol clin n am 2008;46: These injuries are difficult to diagnose. These range from subtle ligamentous sprains, often seen in athletes, to fracture dislocations seen in. A lisfranc injury is a tarsometatarsal fracture dislocation characterized by traumatic disruption between the articulation of the medial cuneiform and base of the second metatarsal. This image shows a gap between the bases of the first and second careful assessment of alignment is always required in suspected midfoot injury. Some injuries cause only mild swelling and pain in the midfoot. The lisfranc joint, named after a field surgeon in napoleon's army who described a new technique of forefoot amputation for soldiers with gangrene related to frostbite, defines the boundary between the midfoot and forefoot. 10451060 american college of radiology. Tara robbins, md ucsd sports medicine fellow.

A lisfranc injury is a tarsometatarsal fracture dislocation characterized by traumatic disruption between the articulation of the medial cuneiform and base of the second metatarsal lisfranc injury. Lisa schwartz, bs*, nelly tan, md^ and john costumbrado, md, mph*.

Share this

Related Posts

Previous
Next Post »

0 comments